办理会员咨询热线:4000-156-001

经常心悸头晕却无能为力?新技术让元凶无所遁形!

所在地区: 广东-河源- 发布日期: 2021年9月8日
建设快讯正文

你是否也遇到过突然的心慌,心脏好像要从胸腔中跳出来一样,甚至有时还会出现头晕黑懵,那您的心脏可能得了这个毛病——室性心动过速!

来自河源市的黄阿姨2个月前活动后突然出现气促心悸,休息后有所好转。在当地医院接受药物治疗后有所减轻,但是还是经常出现心悸头晕,为了进一步治疗,黄阿姨来到暨南大学附属第一医院寻求帮助。

“感觉越来越严重了,就怕没人在的时候突然晕倒“,从黄阿姨的言语中我们还能感受到她的慌乱与不安。拿到黄阿姨在当地做的动态心电图后,我院副院长、心血管专家郭军教授和陈小明副主任医师初步判断这是一个复杂并且有难度的室速——来自左心室乳头肌的室速。

乳头肌起源的室速向来是治疗的难题,原因在于乳头肌与周围组织联系密切,结构复杂,射频导管难以准确到位和稳定贴靠。经过几位专家的讨论,结合患者及家属的意见,决定结合使用新技术——心腔内超声导管进行射频手术治疗。

什么是心腔内超声?

与大家熟悉的超声不一样,心腔内超声是将带有发射超声波探头的笔芯粗细的导管,通过股静脉穿刺放在心脏内,可以清楚直观的呈现心脏的结构,精准定位导管位置。并且在整个手术中实时监控心脏变化,为手术保驾护航。另外,超声导管的存在,可以有效减少射线用量,减少射线对患者及医生的伤害,特别是在复杂心律失常的射频治疗,给更多患者带来福音。

清清楚楚,实时监控目标结构

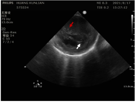
郭军和陈小明借助雅培最新的心腔内超声导管(ViewFlex),将导管放在室间隔部位,通过调整角度清晰观察出左心室两个乳头肌的位置与周围组织的相对关系,实时锁定正在随心脏跳动的乳头肌。

图片附件

红色箭头处为左后乳头肌,白色箭头处为左前乳头肌

精准定位,超声助力锁定元凶

借助超声导管的导引,使用大头在左室内进行激动标测,结合三维标测技术及超声导管的精准定位,定位目标靶点。

图片附件

三维标测结果

目标清晰,精准放电

在超声影像的指引下,确定导管与左后乳头肌的相对位置,进行精准放电消融,并在有效靶点附近进行巩固消融。

图片附件

消融导管在消融

实时心包监测,为患者保驾护航

整个手术过程中,因为超声导管的存在,可以实时对心脏进行监控,观察确认病人心脏心包状态,为患者保驾护航。

图片附件

术中观察心包积液,实时监控心脏状态

解除炸弹,安心收台

消融结束,持续进行观察,确定帮助黄阿姨解除这个定时炸弹。在利用超声导管确定病人心脏状态安全后,才安心收台

图片附件

术后窦律心电图

郭军介绍,室性心动过速,又称室速,是指连续3个或3个以上的自发性室性电除极活动,是一种恶性心律失常。但是室性心动过速又非常狡猾,非持续性室性心动过速的人通常无症状,大多数人是在体检或24小时动态心电图中才捕捉到它的痕迹。部分人会出现心慌胸闷,甚至会出现头晕黑懵。

目前治疗室速可选择的有药物治疗,植入除颤器,射频消融。其中射频消融以其安全性高,能根除大部分室速,成为大部分患者治疗的首选。超声导管的加入,标志着电生理射频消融进入新时代。在精准定位的同时,可以帮助有效减少射线甚至进入无射线的绿色时代,同时也带来更安全更高效的手术。

图片附件

郭军教授和陈小明副主任医师在紧张手术中

(通讯员:张灿城)

按照客观、公正、公开的原则,本条信息受业主方委托独家指定在中国建设招标网 www.jszhaobiao.com 发布

注册会员 享受贴心服务

标讯查询服务

让您全面及时掌握全国各省市拟建、报批、立项、施工在建项目的项目信息。

帮您跟对合适的项目、找对准确的负责人、全面掌握各项目的业主单位、设计院、总包单位、施工企业的项目 经理、项目负责人的详细联系方式。

帮您第一时间获得全国项目业主、招标代理公司和政府采购中心发布的招标、中标项目信息。

标讯定制服务

根据您的关注重点定制项目,从海量项目中筛选出符合您要求和标准的工程并及时找出关键负责人和联系方式。

根据您的需要,向您指定的手机、电子邮箱及时反馈项目进展情况。

咨询热线:4000-156-001