办理会员咨询热线:4000-156-001

铁片像子弹一样击中患者颈部 黄陂区中医医院多学科联合成功为患者“取弹”

所在地区: 湖北-武汉-黄陂区 发布日期: 2023年8月3日
建设快讯正文

近日,一位颈部出血患者用手捂住脖子急匆匆到黄陂区中医医院骨伤二科就诊,值班医师肖劲齐第一时间接诊了患者。

患者匡先生,男,44岁,早上7时左右骑电动车途中,一辆行驶中的大货车轮胎压到马路上铁片,铁片像子弹一样侧飞击中患者颈部,鲜血瞬间染红肩部和胸前,患者慌忙自行简单包扎压迫止血后到区中医医院就诊。

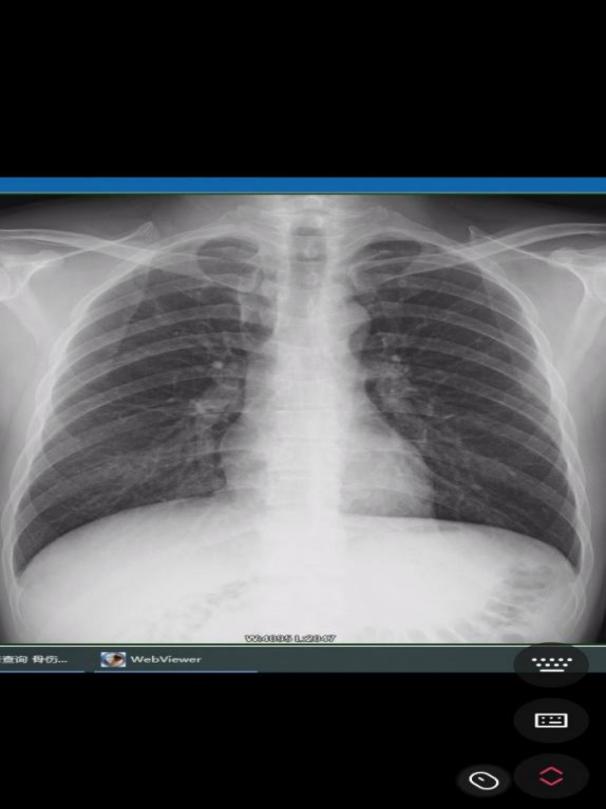
科室主任汪绪芳了解情况后,立即开辟绿色通道,安排医护全程陪诊,颈胸部X线片检查提示:患者右侧颈部局部异物留存,需要急诊手术取“弹片”。此时,距患者受伤已有1个小时,形势危急,肖劲齐立即与病人及家属沟通,详细讲解颈部血管、神经的复杂解剖结构,必须立即进行急诊手术,错过急诊手术时间可能会出现异物贯穿颈部大血管,大出血,造成生命危险。并立即向上级医师科副主任刘铀宁汇报患者病情及治疗方案,同时与科室主治医师刘安明一起做好手术准备,通知手术室开辟急诊通道。

为保证患者安全,刘铀宁联系外一科副主任余勇组建手术团队,进行多学科联合手术。术中,手术团队采用C型臂透视机透视定位异物体表投影区,切开皮肤及皮下组织、筋膜层,探查见颈内静脉外后侧局部血管壁破裂,颈静脉相较于身体其他部位的静脉血管压力大,管径较粗,出血易导致患者出现休克,非常凶险,危及患者生命。所以,当发现异物紧贴颈内静脉时,手术团队的压力很大,分离异物时全神贯注、细心分离,避免出现二次划伤。经过2小时左右的时间,取出一长约1CM金属异物,手术顺利完成,术后患者安返病房。

图片附件

术后取出的异物

图片附件

术后伤口

图片附件图片附件

(术前DR片) ????????????????(术后DR片)

图片附件

医生查房

术后,匡先生病情稳定,复查DR颈部无异物,手术伤口处敷料包扎完好,干燥无明显渗出,伤口引流管通畅,经过医务人员的精心治疗和细心照顾,已于8月1日痊愈出院。

患者出院时,拉着医护人员的手连连称谢“谢谢,谢谢你们救了我,没想到不去汉口就能把我脖子里的‘子弹’取出来。”

通过多科密切协作,患者最终化险为夷。这次急诊高难度手术的顺利完成,彰显了黄陂区中医医院团队合作精神,充分体现了黄陂区中医医院急救急诊能力的不断提升。

骨伤二科主任汪绪芳表示,骨伤二科将继续加强与其他科室的紧密合作,借助同济医院骨科专科医联体平台,不断开拓进取,勇攀技术高峰,为人民群众的生命健康保驾护航,让“大病不出区”。

肖劲齐医师提示:生活中若不慎摔伤、刺伤,导致异物进入体内,发生受伤出血,紧急压迫止血,不要贸然拔出异物,应立即就近就医。

按照客观、公正、公开的原则,本条信息受业主方委托独家指定在中国建设招标网 www.jszhaobiao.com 发布

注册会员 享受贴心服务

标讯查询服务

让您全面及时掌握全国各省市拟建、报批、立项、施工在建项目的项目信息。

帮您跟对合适的项目、找对准确的负责人、全面掌握各项目的业主单位、设计院、总包单位、施工企业的项目 经理、项目负责人的详细联系方式。

帮您第一时间获得全国项目业主、招标代理公司和政府采购中心发布的招标、中标项目信息。

标讯定制服务

根据您的关注重点定制项目,从海量项目中筛选出符合您要求和标准的工程并及时找出关键负责人和联系方式。

根据您的需要,向您指定的手机、电子邮箱及时反馈项目进展情况。

咨询热线:4000-156-001