办理会员咨询热线:4000-156-001

黄陂区人民医院举办“磁共振临床读片会”

所在地区: 湖北-武汉-黄陂区 发布日期: 2024年7月12日
建设快讯正文

7月11日,黄陂区人民医院放射影像科二区(磁共振室)医师到新生儿与危重症医学科开展“磁共振临床读片会”,此次读片会主题为“新生儿颅脑病变磁共振检查相关知识”。

图片附件

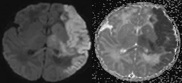
7月10日,新生儿科刚出生一天的患儿因“阵发性青紫半天”行磁共振检查,诊断该患儿为左侧大脑中动脉供血区急性大面积脑梗死,磁共振医生第一时间报告临床,及时准确的为临床提供影像诊断意见,为新生儿的救治提供有力的支持。

图片附件

图片附件

针对近期新生儿检查需求的增加,放射影像科二区(磁共振)认真梳理总结相关病例,结合临床表现,细致整合相关资料,到新生儿科开展读片会,并与该科医护人员进行了交流沟通。

按照客观、公正、公开的原则,本条信息受业主方委托独家指定在中国建设招标网 www.jszhaobiao.com 发布

注册会员 享受贴心服务

标讯查询服务

让您全面及时掌握全国各省市拟建、报批、立项、施工在建项目的项目信息。

帮您跟对合适的项目、找对准确的负责人、全面掌握各项目的业主单位、设计院、总包单位、施工企业的项目 经理、项目负责人的详细联系方式。

帮您第一时间获得全国项目业主、招标代理公司和政府采购中心发布的招标、中标项目信息。

标讯定制服务

根据您的关注重点定制项目,从海量项目中筛选出符合您要求和标准的工程并及时找出关键负责人和联系方式。

根据您的需要,向您指定的手机、电子邮箱及时反馈项目进展情况。

咨询热线:4000-156-001